QUANTITY: 50ul 100ul
DESCRIPTION: γ-tubulin forms complexes of two different sizes: γ-tubulin small complex (γ-TuSC) and the larger γ-tubulin ring
SPECIES CROSS-REACTIVITY: Human, Rat, Mouse
SPECIFICITY: The gamma tubulin antibody can detects endogenous gamma tubulin protein.
ISOTYPE: IgG1
MOLECULAR WEIGHT: ~50KDa
TESTED APPLICATIONS: Western Blot IHV
APPLICATIONS: Western blot: 1:1,000-1:2,000
IHC: 1:100-1:200
*NOTE: Optimal working dilutions must be determined by the end user
STORAGE/HANDING: PBS, pH 7.4, containing 0.02% sodium azide as Preservative and 50% Glycerol. Store at -20°C. Do not aliquot the antibody.

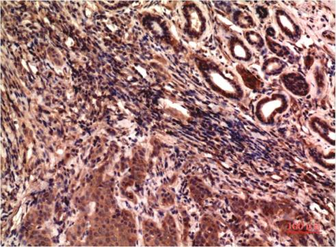
Immunohistochemical analysis of paraffin-embedded Human Breast Carcinoma Tissue using Gamma Tubulin Mouse mAb diluted at 1:200.

Immunohistochemical analysis of paraffin-embedded Human Colon Carcinoma Tissue using Gamma Tubulin Mouse mAb diluted at 1:200.
For research use only; not for use as a diagnostic.
Important Note: The product listed herein is for research use only and is not intended for use in human or clinical diagnosis.
商品推荐
抗荧光衰减封片剂(含DAPI)F10
¥180
F1000
UltraGel宽范围高分辨配胶试剂
¥180
AP0001
钙离子检测试剂盒(比色法) E2
¥480
E2083
线性聚丙烯酰胺(LPA)(5mg/m
¥480
D1600
游离脂肪酸FFA含量测定试剂盒 E1
¥780
E1001
服务保障
大客户服务
联系方式
销售部:010-62027915-816,010-62027915-818,010-62053186
技术部:010-62027915-807,010-60781808
综合业务部:010-62027915-0,010-60781809
微信:applygen2004
QQ:2493578916
邮箱:office@applygen.com
地址:北京市昌平区振兴路36号2号楼3层330

新二维码

小红书

微信公众号